You spit, look in the sink, and see pink. That moment gets people’s attention fast.
If you’re wondering why do your gums bleed, the short answer is that your gums are reacting to irritation, inflammation, trauma, or a health issue that needs a closer look. Sometimes the fix is straightforward. Sometimes bleeding is the first visible sign that your mouth needs professional care before the problem gets deeper.
The good news is that bleeding gums are common, and in many cases they’re treatable. What matters most is not brushing the symptom aside.
Noticing Bleeding Gums? A Trusted Walnut Creek Dentist Can Help
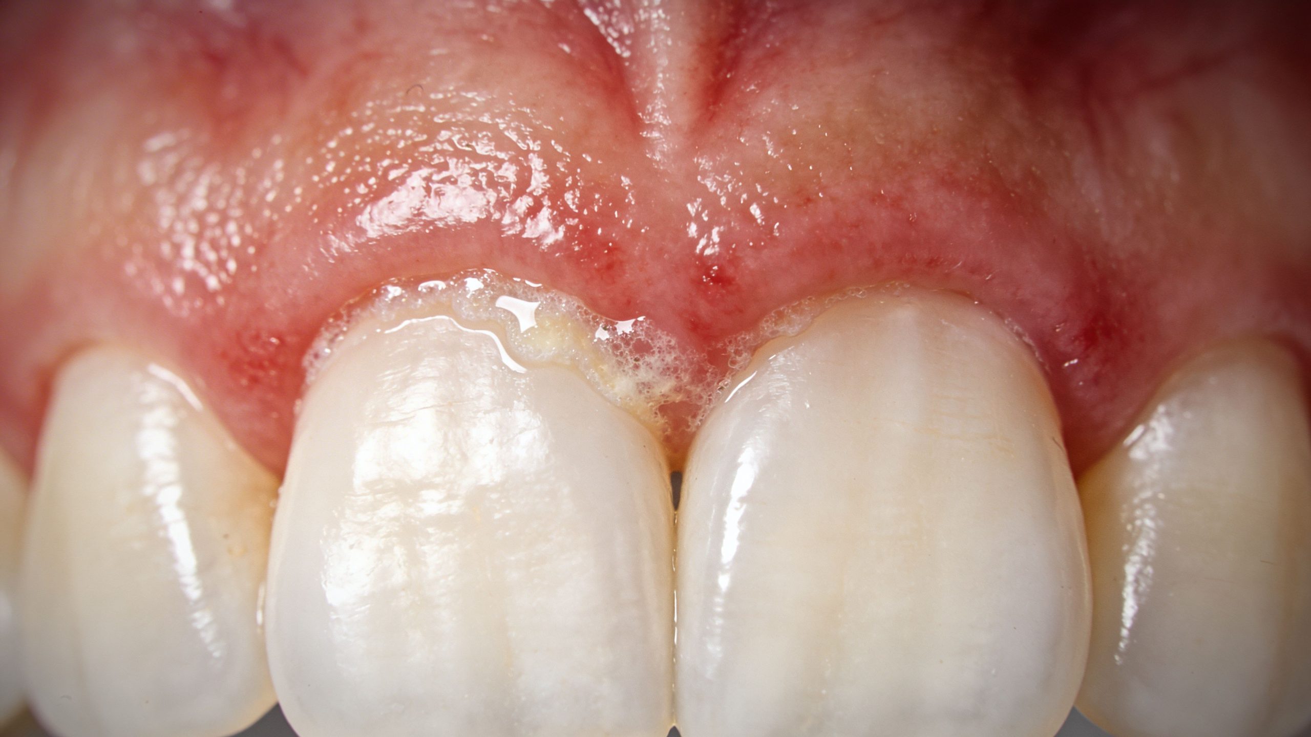
Bleeding gums can show up during brushing, flossing, or even while eating. It’s unsettling, but it isn’t unusual. Approximately 50% of adults experience bleeding gums, primarily due to gingivitis, the earliest and most reversible stage of gum disease, according to Texas A&M University Health Vital Record.
That doesn’t make it normal.
Bleeding is your body’s signal that the gum tissue is irritated. In early cases, treatment is often conservative. Better home care, a professional cleaning, and a clear plan can make a real difference. If the bleeding has been going on for a while, the answer may involve gum therapy, closer monitoring, or reviewing health factors outside the mouth.
What patients usually notice first
Some people see blood only when they floss. Others notice tenderness, puffiness near the gumline, or a bad taste that keeps coming back. A few tell me they switched toothpaste, brushed harder, and hoped it would stop on its own. That usually doesn’t solve the underlying problem.
Common early clues include:
- Pink in the sink: Blood after brushing or flossing
- Sore gum margins: Tenderness where the teeth meet the gums
- Swelling or redness: Gums look fuller or darker than usual
- Persistent odor: Breath stays unpleasant even after brushing
If you’re not sure whether your symptoms fit the pattern, this guide to early signs of gum disease is a useful starting point.
Practical rule: If your gums bleed more than once, treat it as a sign worth checking, not as something your mouth will automatically “tough out.”
Why local evaluation matters
A good exam doesn’t just confirm that your gums are bleeding. It answers the next question. Why are they bleeding in your case?
That answer may be simple plaque buildup. It may be a brushing habit, a food particle trapped below the gumline, or a medication effect. In Walnut Creek, where many patients are balancing work, family, exercise, and long commutes, it’s common for preventive care to slip until a symptom finally demands attention.
If you’ve been searching for a dentist in Walnut Creek, CA or a dentist near me because your gums started bleeding, this is the right time to get clarity. Early care is usually easier, more comfortable, and more conservative than waiting.
Gingivitis The Most Common Reason Gums Bleed
When patients ask why do your gums bleed, the most common answer is gingivitis. This is the earliest stage of gum disease. It starts when plaque sits along the gumline long enough to irritate the tissue.
Plaque is a sticky bacterial film, similar to buildup in a kitchen corner. If you wipe it away regularly, it stays manageable. If you ignore it, it thickens, hardens, and becomes much harder to remove.
According to Colgate’s oral health guidance, bleeding gums result from plaque accumulation, where bacterial colonies produce acidic byproducts. That irritation triggers inflammation and makes the tissue more likely to bleed during routine brushing or flossing.
How the process starts
Healthy gums form a snug seal around the teeth. Plaque disrupts that seal.
At first, the changes can be subtle:
- Color shifts: Gums look redder than usual
- Texture changes: Tissue looks puffy instead of firm
- Bleeding with contact: Brushing and flossing trigger spotting
- Sensitivity: The gumline feels sore when touched
This stage is important because gingivitis is reversible. The tissue is inflamed, but the deeper support around the teeth hasn’t necessarily been permanently damaged yet.
Why home brushing alone may stop working
Fresh plaque is soft enough to remove at home. Once it hardens into tartar, your toothbrush can’t scrape it off safely. That’s where many people get stuck.
They brush more aggressively because the gums feel “dirty” or swollen. The extra pressure often irritates the tissue further, while the tartar stays in place.
A better approach is:
| Situation | What usually works | What usually doesn’t |
|---|---|---|
| Early plaque buildup | Consistent brushing and daily flossing | Skipping floss and brushing harder |
| Hardened tartar near gums | Professional cleaning | Trying to scrub it off at home |
| Ongoing bleeding for weeks | Dental exam and gum evaluation | Changing toothpaste repeatedly |
That trade-off matters. Effort helps only when it’s pointed in the right direction.
Why cleanings matter
A routine dental cleaning removes plaque and tartar from areas that home care misses. That creates the conditions for the gums to settle down and heal. For many patients, this is the turning point.
It also gives you a chance to correct technique. A soft-bristled toothbrush, a gentle angle at the gumline, and steady daily flossing usually work better than force.
This short video gives a helpful visual explanation of the process.
Bleeding when you brush doesn’t mean you should stop brushing that area. It usually means the area needs cleaner, gentler care.
For patients looking for dental care, cleaning and exams, this is one of the clearest benefits of preventive treatment. You remove the source of irritation instead of guessing. You also lower the chance that a reversible problem turns into one that threatens the tooth’s long-term support.
Other Factors That Can Cause Your Gums to Bleed
Plaque is the main culprit, but it isn’t the only one. Bleeding can start for mechanical reasons, from a trapped food particle, or because something in your overall health is affecting your gum tissue.
According to Cleveland Clinic’s overview of bleeding gums, causes can include blood thinners, vitamin K or C deficiencies, diabetes, and hormonal changes. That’s why a proper diagnosis matters. Two people can have the same symptom with very different underlying reasons.
Everyday mechanical causes
Some bleeding starts with habits, not disease.
A stiff brush, too much pressure, or snapping floss into the gums can create repeated trauma. Patients often do this with good intentions. They’re trying to “clean better,” especially when the gums already feel irritated.
Mechanical irritation often follows a pattern:
- It’s localized: One area bleeds more than the rest
- It appears after technique changes: New brush, harder pressure, more aggressive flossing
- The tissue feels scraped: The soreness is sharp rather than deep or throbbing
Food impaction is another overlooked cause. Popcorn hulls, chips, and other small fragments can wedge under the gumline and cause sudden bleeding in one spot. The temptation is to dig at it with a fingernail, toothpick, or sharp object. That usually makes the tissue angrier.
If you suspect food is lodged under the gums:
- Floss carefully: Slide, don’t snap
- Rinse with water: Swishing may loosen debris
- Use a water flosser if you have one: Gentle flushing can help
- Avoid picking: Sharp objects can injure the area
If the spot stays swollen or painful, it should be examined.
Health and medication factors
Sometimes the gums bleed because the tissue or clotting response is more fragile than usual.
Blood-thinning medications can make minor gum irritation bleed more easily. Vitamin C and vitamin K deficiencies can affect tissue health and clotting. Diabetes can change how the body responds to inflammation and healing. Hormonal shifts during pregnancy, puberty, or menopause can make gums more reactive to plaque that previously caused little trouble.
Here’s the practical takeaway. A mouth symptom can reflect a whole-body issue.
| Possible factor | How it can show up in the mouth |
|---|---|
| Blood thinners | Bleeding starts easily and lasts longer |
| Vitamin C or K deficiency | Tissue feels tender, fragile, or slow to recover |
| Diabetes | Inflammation lingers and healing may be slower |
| Hormonal changes | Gums become more sensitive and puffy |
When the pattern suggests something more than brushing
A few clues make me think beyond routine irritation.
One is bleeding that continues even when home care is already good. Another is bleeding combined with unusual swelling, loose-feeling teeth, or tenderness that doesn’t match simple brushing trauma. A third is a history of recent medication changes.
If your gums bleed and your habits haven’t changed, your medical history becomes part of the dental exam.
Thorough care matters in such situations. A good dentist won’t just say “floss more” and send you home. They’ll ask what medications you take, whether the bleeding is generalized or limited to one spot, whether it happens only while brushing, and whether any health changes have happened recently.
That kind of review is especially important before treatments such as a deep cleaning, tooth extraction, or dental implants near me searches turn into actual care. Healthy gums and controlled bleeding are part of safe, predictable treatment.
The Connection Between Gum Health and Your Whole Body
It’s easy to think of bleeding gums as a small problem confined to the bathroom sink. That view misses the bigger issue.
According to MedlinePlus Magazine, gum disease affects over 50% of men and 35% of women, it is the primary cause of tooth loss in adults, and 42% of U.S. adults over 30 have some form of periodontitis. In the advanced stage, bacteria can enter the bloodstream and fuel systemic inflammation.
That doesn’t mean every episode of bleeding gums signals a serious medical condition. It does mean the mouth shouldn’t be treated as separate from the rest of the body.
Why the connection matters
Your gums have a rich blood supply. When the tissue is inflamed and the surface becomes compromised, bacteria and inflammatory byproducts have a pathway beyond the mouth.
That’s one reason dentists pay close attention to gum health even when the patient came in asking about something else, such as teeth whitening, a broken filling, or cosmetic dentist near me options. Cosmetic and restorative work lasts better on a healthy foundation.
A stable gumline supports:
- Comfort: Less tenderness and less bleeding with daily care
- Function: Better support around the teeth
- Predictability: Cleaner conditions for crowns, implants, and other restorative work
- Confidence: Fresh breath and healthier-looking gums
Inflammation is the common thread
Systemic inflammation is a broad topic, and it deserves careful discussion. Dentistry can’t solve every inflammatory condition, but it can remove a chronic source of irritation inside the mouth.
For patients interested in broader wellness habits, this article on reducing inflammation naturally gives a useful lifestyle perspective. It complements dental care, but it doesn’t replace professional treatment when gums are bleeding.
Healthy gums support more than your smile. They make the rest of your dental care more predictable.
That point becomes very real when someone waits too long. Early inflammation may be reversible. Deeper periodontal damage can become an ongoing management issue. At that stage, the focus may shift from simple prevention to preserving teeth, replacing missing teeth, or planning restorative dentistry more carefully.
For anyone in Walnut Creek looking for an emergency dentist or a new general dentist because gum symptoms have become hard to ignore, this is why timely care matters. Treat the warning sign early, and the rest of your oral health journey gets easier.
What to Expect During Your Dental Exam in Walnut Creek
You notice blood in the sink after brushing, and now you are wondering what the visit will be like. Many new patients in Walnut Creek tell me the same thing. They are not only worried about the bleeding. They are worried about being judged, pushed into treatment, or hearing bad news without a clear plan.
A good exam should replace that uncertainty with specifics. If gums are bleeding, the visit starts with a careful conversation about what you have noticed at home and what may be contributing to it. That includes your medical history, medications, home care routine, dental anxiety, and whether the bleeding is occasional or happening often.
The first part of the visit
The questions matter because bleeding gums do not all come from the same place. A short history often helps us tell the difference between mild inflammation, irritation from brushing technique, a localized problem area, or signs that the gums and supporting bone need closer attention.
The team will usually ask:
- When did the bleeding start
- Does it happen while brushing, flossing, or eating
- Is it one spot or your whole mouth
- Have you started any new medications
- Have you noticed swelling, pain, or bad breath
Those answers shape the next steps and help us avoid a one-size-fits-all recommendation.
The clinical exam
The exam itself is usually straightforward and gentler than patients expect. The dentist checks the color and shape of the gums, looks for plaque and tartar around the gumline, and notes areas that bleed easily. If needed, gum measurements help show whether the inflammation is staying near the surface or affecting deeper tissue support.
Digital x-rays may also be recommended if they will add useful information. They can show bone levels around the teeth, hidden tartar, and other problems that are easy to miss during a visual exam alone. If you want a broader preview, this guide to what happens during a dental exam explains the process in more detail.
What a clear explanation should include
By the end of the appointment, you should understand what the bleeding likely means now and what it could affect later if it is ignored. That matters for your comfort today, but it also matters for the bigger picture of your oral health. Healthy gums make future dentistry more predictable, whether the goal is keeping natural teeth stable, placing a crown, or planning for an implant after tooth loss.
| What the dentist finds | What it usually means |
|---|---|
| Surface inflammation only | Often improves with a professional cleaning and better home care |
| Tartar below the gumline | May call for treatment deeper than a routine cleaning |
| Localized bleeding in one area | Can point to trapped debris, irritation, or a site-specific problem |
| Signs of deeper support loss | Needs closer periodontal evaluation and treatment planning |
A useful explanation is plain and practical. You should know what is causing the bleeding, which treatment is recommended first, what can wait, and what the trade-offs are. In early cases, treatment is often simpler. In more advanced cases, the goal may shift toward stabilizing the gums before restorative work can last the way it should.
For anxious patients, comfort planning is part of good care. Slower pacing, breaks, numbing when appropriate, and clear step-by-step communication can make the visit feel manageable. The best exam leaves you with answers, options, and a plan you can follow with confidence.
Professional Dental Treatments to Restore Healthy Gums
Once the cause is clear, treatment becomes much more straightforward. The main goal is simple. Remove the source of irritation, help the tissue heal, and protect the support around the teeth.
The treatment itself depends on how far the problem has progressed. Not every patient with bleeding gums needs the same level of care.
Routine cleaning for early inflammation
If the bleeding is tied to plaque and tartar at the gumline, a professional cleaning is often the first step. This removes buildup that home brushing can’t fully handle.
For early inflammation, that’s often enough to let the gums recover, especially when paired with better home care. The visit also gives the team a chance to adjust technique. Many patients improve once they stop brushing too hard and start cleaning the gumline more effectively.
When a deeper cleaning is needed
If deposits extend below the gumline, a routine cleaning may not be enough. In those cases, the recommended treatment may be scaling and root planing, often called a deep cleaning.
This type of treatment targets buildup and bacterial contamination below the visible edge of the gums. The purpose is to reduce inflammation in the deeper pocket areas and create a cleaner surface for healing.
To simplify, consider:
- Routine cleaning: Best for buildup above the gumline and mild inflammation
- Deep cleaning: Used when the problem extends under the gumline
- Ongoing maintenance: Helps keep gum disease from returning after treatment
Why treating the gums protects everything else
Patients sometimes want to move directly to restorative work. They ask about crowns, smile improvements, or replacing missing teeth before the gum issue is stabilized. That usually isn’t the best order.
Healthy gums make other treatment stronger.
Consider the difference:
| Dental goal | Why gum health matters first |
|---|---|
| Crown or bridge work | Inflamed gums can affect fit, comfort, and long-term maintenance |
| Dental implants | Implant success depends on healthy surrounding tissue |
| Cosmetic dentistry | Red, swollen gums can undermine an otherwise beautiful result |
| Saving a compromised tooth | Reducing inflammation may improve comfort and prognosis |
This is one of the biggest trade-offs in dentistry. People want the visible fix first. The foundation usually has to come first.
Treating bleeding gums early can prevent a much longer chain of care later.
That’s true whether the later care would involve periodontal therapy, a tooth extraction, a crown, or replacing a missing tooth. In some cases, advanced gum disease contributes to tooth loss, and then treatment expands into restorative dentistry. That may include bridges or implants. Those are valuable options, but preserving healthy tissue whenever possible is almost always the better path.
For patients in Walnut Creek searching for dental care, restorative dentistry, or even dental implants near me, this is the practical takeaway. If your gums bleed, start with diagnosis and stabilization. The rest of your treatment will be more predictable from there.
Home Care Tips and When to See an Emergency Dentist
What you do at home matters. It won’t remove tartar or replace a proper exam, but it can reduce irritation and support healing while you arrange care.
The key is consistency, not force.
Home care that usually helps
Use a soft-bristled brush and clean gently at the gumline. Small circular motions work better than scrubbing side to side. If one area bleeds, don’t avoid it completely. Clean it carefully.
Floss daily, but do it with control. If you need a refresher, this guide on how to floss teeth correctly explains the technique well.
A practical routine looks like this:
- Brush gently twice a day: Focus on the gumline without pressing hard
- Floss once a day: Curve the floss around the tooth instead of snapping it down
- Rinse after meals if food gets trapped: This can help with localized irritation
- Replace worn toothbrushes: Frayed bristles don’t clean well and can be rough on tissue
- Pay attention to patterns: One bleeding spot suggests a local issue. Generalized bleeding suggests a broader gum problem
What usually doesn’t work
Patients often try to solve bleeding gums by changing products repeatedly. New toothpaste, stronger mouthwash, whitening products, charcoal products, or brushing with extra pressure rarely fix the underlying cause.
These habits commonly backfire:
- Aggressive brushing: Makes irritated tissue worse
- Stopping floss because it bleeds: Allows plaque to stay in place
- Using sharp tools at home: Risks cutting the gum
- Waiting for pain before acting: Gum disease can progress without noticeable symptoms for some time.
When it’s time to call right away
Some bleeding can wait for a prompt routine exam. Some situations need faster attention from an emergency dentist.
Call promptly if you have:
| Symptom | Why it needs faster care |
|---|---|
| Bleeding that won’t stop | Could reflect significant tissue injury or another health factor |
| Swelling with severe pain | May suggest an infection or abscess |
| Pus, foul taste, or facial swelling | Infection can spread and shouldn’t be ignored |
| A loose tooth or sudden bite change | May indicate deeper support problems |
| Bleeding after dental trauma | Needs professional evaluation |
If the bleeding is mild but persistent, that still deserves attention. It may not be a same-day emergency, but it is a reason to schedule an exam with a dentist in Walnut Creek, CA rather than waiting for the next problem to appear.
Most bleeding gums improve when the true cause is identified and treated. The earlier you act, the simpler that treatment usually is.
If you’re dealing with bleeding gums and want clear answers from a local dental team, William M. Schneider, DDS provides extensive preventive, restorative, and gum-focused care in Walnut Creek. Whether you need a new patient exam, a professional cleaning, help with dental anxiety, or a plan to protect your long-term oral health, scheduling a visit is the best next step.



